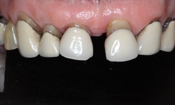
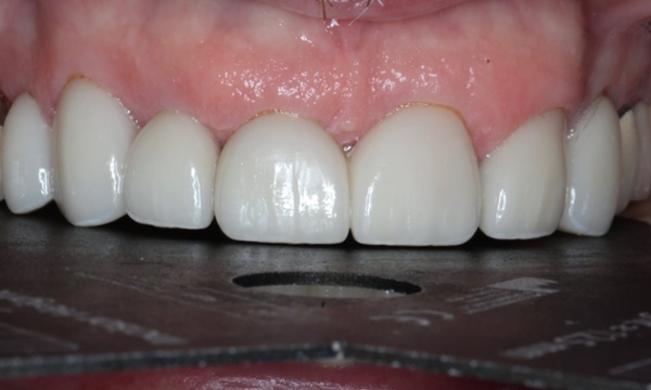
Smile Makeover with Porcelain Restorations

At Total Wellness Dental, our smile makeover process is built around precision, personalization, and collaboration. We believe cosmetic dentistry should not follow a one-size-fits-all approach. Instead, every smile should be designed according to facial features, smile dynamics, and the patient’s personal vision of beauty. This philosophy allows us to create results that look balanced, youthful, and uniquely tailored to each individual.

 

Related Services:

Porcelain Veneers
Ready to book an appointment?