Total Wellness Dental
Dr. Hieu Do
Porcelain Veneers
Achieving Your Dream Smile Is Possible!

With our smile design process, we can customize your treatment plan and let you "test drive" your new smile, ensuring you get the look you've always wanted.

Porcelain Veneers | Dentist
Ready to Schedule a Consultation?
We Can Help

Porcelain Veneers

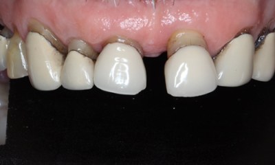
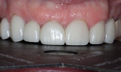
You deserve a smile that you’re proud to show others, so if you have concerns about the shape, size, or color of your teeth, porcelain veneers could be a good cosmetic option. We offer customized treatment plans, giving you the ability to transform your smile on your terms.

We’ll guide you through the process from start to finish, and you can even “test drive” your new smile, eliminating any surprises and showing you exactly what your results will look like ahead of time.

What Are Porcelain Veneers?

Porcelain veneers are thin porcelain shells bonded to the front sides of your teeth. Veneers can cover and conceal numerous dental issues, giving you a uniform, aesthetically pleasing smile.

With proper care, porcelain veneers can last for many years, so if you have any of the following concerns, veneers might be the answer you’ve been looking for:

  • Stains and discoloration
  • Chips, cracks, and wear
  • Gaps and spaces
  • Irregular shapes and sizes
  • Mild misalignment

Why Choose Porcelain Veneers?

Porcelain veneers are a fantastic way to enhance your smile’s appearance, concealing numerous dental concerns. If you decide that porcelain veneers are the right choice for your smile, some of the benefits you’ll enjoy include the following:

Improved Appearance
Porcelain veneers mimic the translucence of your natural tooth enamel, so they look completely natural and blend seamlessly with your other teeth.
Stain Resistance
Porcelain is a non-porous material, so it resists stains. You can enjoy coffee, tea, and dark sauces without worrying about unsightly stains or discoloration.
Low Maintenance
Your new veneers don’t require any special care to keep them looking and feeling their best. Just brush, floss, and make regular visits to our dental office.
Boosted Confidence
Imagine looking forward to smiling in pictures again, going out with friends, and feeling confident when you interact at work or in social situations.

Frequently Asked Questions

Porcelain veneers are known for being strong, long-lasting, and natural-looking, but like any dental restoration, they are not completely immune to damage. While veneers are highly durable, they can chip or come loose if they experience excessive pressure or trauma.

Everyday habits such as chewing on ice, grinding your teeth, or using your teeth to open packaging can increase the risk. With proper care and mindful habits, however, most patients enjoy many years of reliable, attractive results.

Understanding the Durability of Porcelain Veneers

Porcelain veneers are crafted from strong ceramic materials that are designed to withstand normal biting and chewing. They are securely bonded to the front surface of your teeth, providing both stability and a natural look.

Although rare, chipping or separation can occur when a veneer is exposed to sudden force or consistent strain. Your dentist may recommend a nightguard if you clench or grind your teeth, since this can greatly reduce the risk of damage.

 Regular checkups also help ensure that your veneers remain secure and in excellent condition. If a veneer ever chips or loosens, most issues can be repaired or replaced quickly, so your smile stays bright and confident.

Contact Total Wellness Dental for Veneer Care and Advice

If you have veneers or are considering them, the team at Total Wellness Dental in Houston, TX, is here to help you maintain a strong, beautiful smile.

Call our office at (281) 463-7258 to schedule a visit.

We can answer your questions, evaluate your veneers, and provide personalized recommendations for long-lasting results.

The Smile Design Process: What You Need to Know

When you visit our dental office for porcelain veneers, we’ll answer your questions and explain the process to you:

  • Smile design consultation — After we listen to your smile goals, we’ll take photos and digital scans of your teeth and gums. Then, we’ll send them to the lab so they can create a blueprint of your new smile.
  • Smile reveal — You’ll return to our office to “test drive” your new smile. We’ll place an acrylic mold over your teeth so you can see what your new smile will look like.
  • Tooth preparation — Once you approve of your new smile, we’ll prepare your teeth and take digital scans so the lab can create your custom porcelain restorations. In the meantime, we’ll place temporary veneers on your teeth to protect them.
  • Final input — We want you to love your new smile, so you’ll have the chance to make any final adjustments on your provisionals before we send your scans to the lab. Your input is an essential part of the process.
  • Placement — At your delivery appointment, we’ll bond your new veneers to your teeth and make any necessary adjustments, ensuring your complete satisfaction!

OUR TEAM

    Dr. Hieu Do , DDS, D.ABDSM - Dentist

    Dr. Hieu Do DDS, D.ABDSM

    Dr. Hieu Do is the proud owner of Total Wellness Dental. A compassionate leader and lifelong learner, Dr. Do believes in empowering both her team and her patients to reach their fullest potential, personally, professionally, and in their oral health. Her leadership philosophy centers on leading by example and fostering an environment of growth, trust, and positivity.

    Dr. Do attended the University of Texas School of Dentistry, where she earned her Doctor of Dental Surgery (DDS) degree in 2014, following her Associate of Applied Science in Dental Hygiene from Wharton County ...

    Read More

Questions About Porcelain Veneers in Houston, TX?

To learn more about porcelain veneers or any of our other cosmetic options, please feel free to reach out to our experienced dental team! We proudly serve Houston and the surrounding communities of Deerfield Village, Bear Creek Village, Pine Forest Village, Memorial, Glencairn, and Clay Meadows.

If you’d like to schedule a consultation or appointment, please call us at (281) 463-7258.

See What Cosmetic Dentistry Can Do for You
If you have difficulty using our website, please email us or call us at (281) 463-7258
View the ADA Accessibility Statement
Privacy Policy