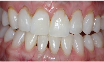
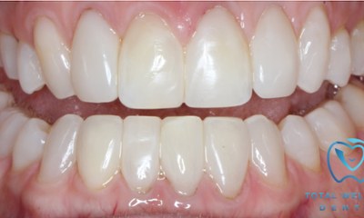
The Step-by-Step Bioclear Process
The Bioclear process uses heated composite and special molds to give you stronger, longer-lasting veneers.
When you arrive for your treatment, this is what you can expect:
- Biofilm removal — First, we’ll use a fine powder to remove the plaque from your teeth. This will help the resin bond to your teeth.
- Tooth preparation — If necessary, we’ll gently etch your teeth, but the majority of your tooth enamel remains intact.

- Matrix placement — We’ll carefully choose contoured molds and place them between your teeth.
- Warm injection molding — Then, we’ll inject a warm composite material into the molds, filling the gaps and creating a natural appearance.
- Curing and finishing — The last step involves curing the material with a special light and removing any excess composite before polishing and shaping your new smile.