Smile Gallery
Are you ready to love your smile again? Take a look at some of our incredible before-and-after transformations, and then give us a call to get started today!
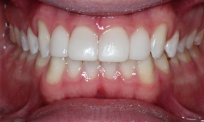
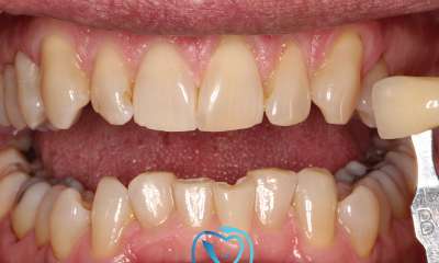
At Total Wellness Dental, our smile makeover process is built around precision, personalization, and collaboration. We believe cosmetic dentistry should not follow a one-size-fits-all approach. Instead, every smile should be designed according to facial features, smile dynamics, and the patient’s personal vision of beauty. This philosophy allows us to create results that look balanced, youthful, and uniquely tailored to each individual.
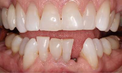
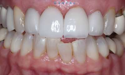
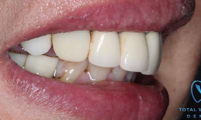
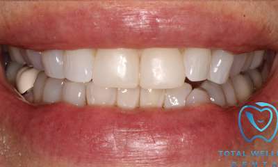
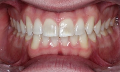
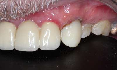
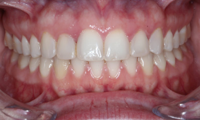
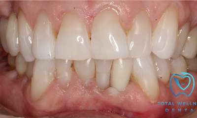
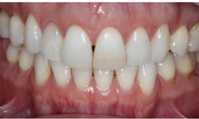
Four upper porcelain crowns were replaced to improve tooth shape, symmetry, and lip support—creating a fuller, more youthful smile while keeping everything natural and balanced. Cosmetic dentistry is about designing a smile that elevates you, not changes it.
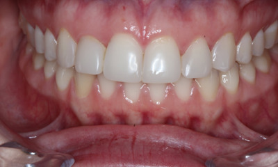
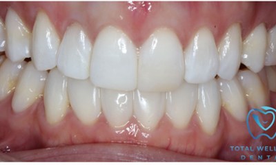
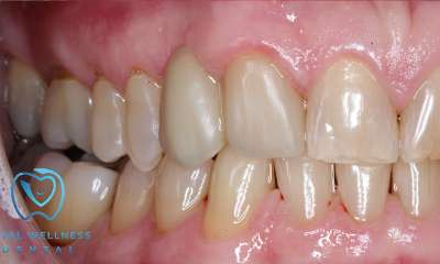
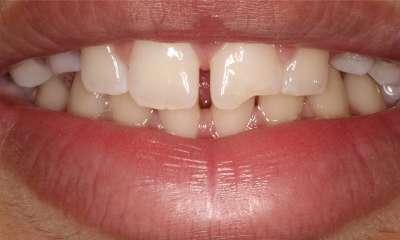
Using the Bioclear technique, a non-invasive way to enhance the esthetics of your smile; we replaced four composite veneers to create a more balanced, polished and seamless result.
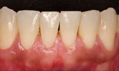
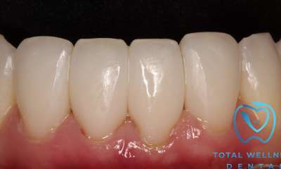
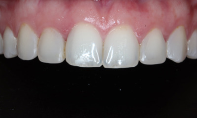
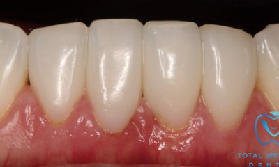
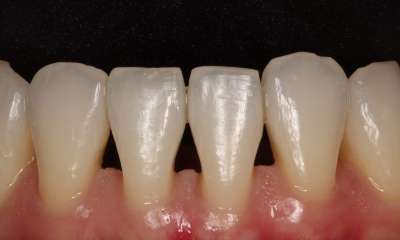
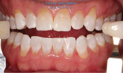
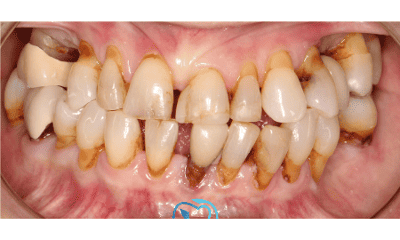
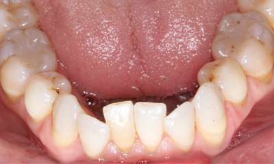
Worn-out teeth with black triangles were transformed using the minimally invasive Bioclear technique.
The non-invasive Bioclear technique was used to close black triangles. Healthy tooth structure was preserved while achieving the desired esthetic outcome.
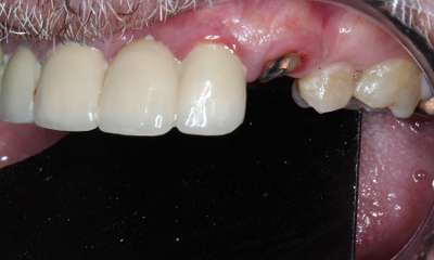
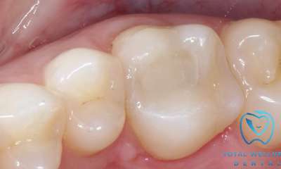
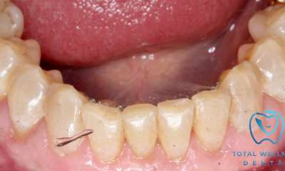
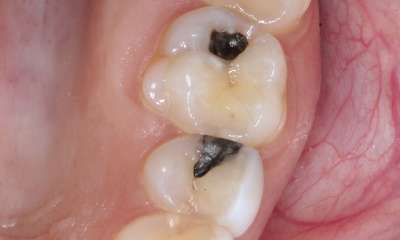
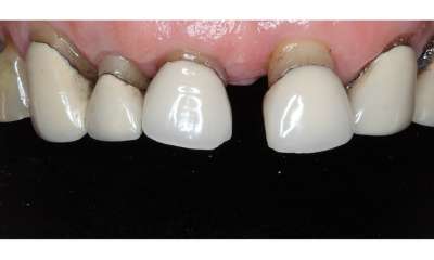
Mercury Silver filling was safely removed and replaced with tooth-colored restoration.
Smile rejuvenation with the non-invasive Bioclear technique.
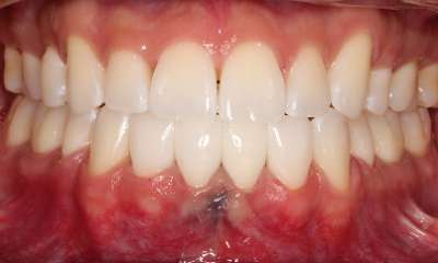
Say goodbye to grey teeth! 48 hour smile transformation with the Bioclear method.
We follow SMART – Safe Mercury Amalgam Removal Technique, a specialized safety protocol designed to significantly reduce mercury exposure during the removal process. Our office is a SMART-certified provider through the International Academy of Oral Medicine and Toxicology (IAOMT), demonstrating advanced training and adherence to strict mercury-safe clinical standards.
we follow the SMART – Safe Mercury Amalgam Removal Technique, a specialized safety protocol designed to significantly reduce mercury exposure during the removal process. Our office is a SMART-certified provider through the International Academy of Oral Medicine and Toxicology (IAOMT)
Nightlase is a non-invasive adjunct therapy for snoring and sleep apnea. We always collaborate with our medical sleep colleagues for patients' best outcomes.
LipLase® is a non-invasive laser treatment designed to naturally enhance lip fullness, shape, and smoothness without injections or fillers. LipLase is ideal for patients who want subtle, natural lip plumping. Results can vary depending on individual skin type, age and lifestyle factors.
I had an amazing experience with Dr. Do and her team. From the moment we walked in, everyone was kind, professional, and truly attentive. Dr. Do takes her time to explain everything clearly and makes you feel completely comfortable. Our kids are also very comfortable with her, which means so much to us as parents. The whole team works so smoothly together, and you can tell they genuinely care about every patient. We’re so grateful to have found such a wonderful dental office!
- Alana