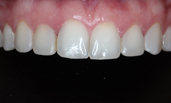
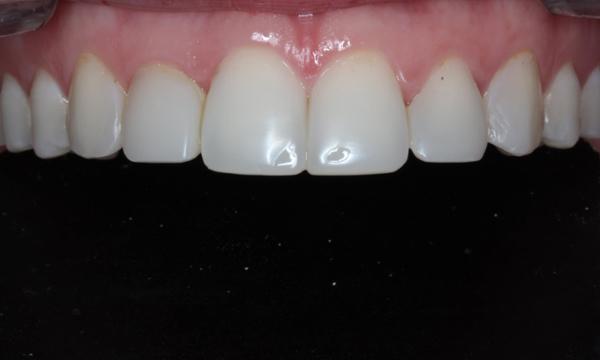
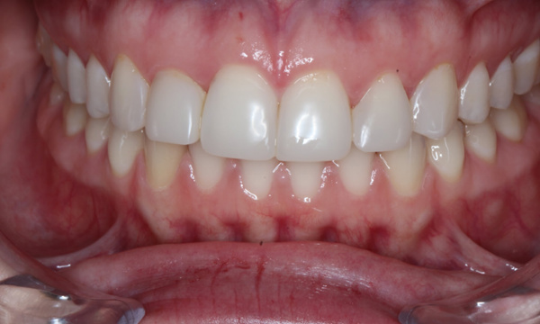
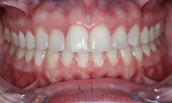
Natural-Looking Smile Transformation with Bioclear Technique

Using the minimally invasive Bioclear technique, we replaced older composite veneers to create a more balanced, natural-looking smile. This treatment improved tooth shape, symmetry, and overall smile harmony while preserving healthy tooth structure. At Total Wellness Dental in Houston, we focus on conservative cosmetic dentistry that enhances aesthetics without an overly artificial appearance.

 

Related Services:

Bioclear® Composite Veneers
Not finding what you need?