Bioclear Smile Rejuvenation

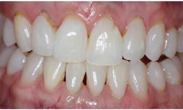
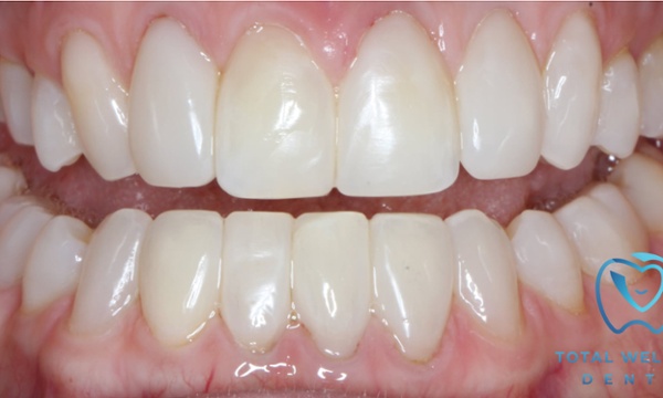
This Bioclear smile rejuvenation treatment improved tooth shape, symmetry, and overall smile balance while maintaining a natural appearance. By using a minimally invasive approach, we were able to enhance the smile conservatively while preserving healthy tooth structure. At Total Wellness Dental in Houston, we focus on cosmetic dentistry solutions that support both aesthetics and long-term oral health.

Related Services:

Bioclear® Composite Veneers
Are You Ready to Book Your Next Dental Visit?