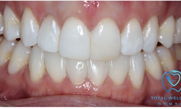
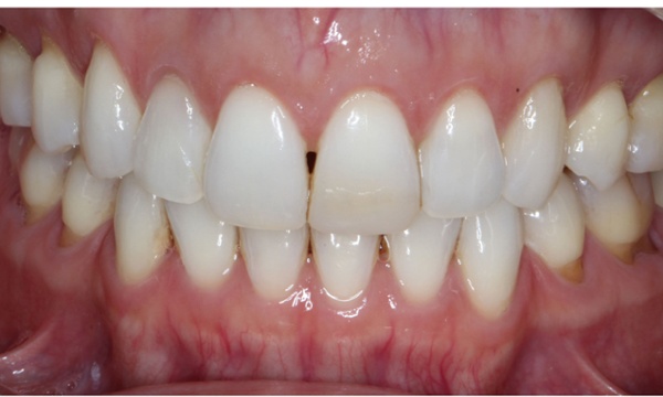
Bioclear black triangle closure

This smile rejuvenation used the minimally invasive Bioclear technique to close black triangles and create smoother, more natural tooth contours. By improving the shape and contact between the teeth while preserving healthy tooth structure, we were able to create a more seamless and balanced smile. At Total Wellness Dental in Houston, we focus on conservative cosmetic dentistry solutions that enhance aesthetics while supporting long-term oral health.

Related Services:

Bioclear® Composite Veneers
Still need an appointment?