Skip to main content
Total Wellness Dental
Dr. Hieu Do
Now Accepting New Patients!
Call us at (281) 463-7258 or
Schedule Online
Total Wellness Dental
Dr. Hieu Do
Request an Appointment
Like us on Facebook
Leave a Google Review
Instagram
(281) 463-7258
Total Wellness Dental
Book Online
Home
About
Our Team
Dr. Hieu Do
Technology
Practice Photos
Services
View All
Bioclear® Composite Veneers
Porcelain Veneers
Biological Dentistry
Clear Aligners
Cosmetic Dentistry
Growth and Development
KöR® Teeth Whitening
Laser Dentistry
Periodontal Treatment
Sleep Apnea/Snoring Treatment
Smile Gallery
Testimonials
Patient Info
View Patient Info
Financial
FAQs
Blog
Contact
Total Wellness Dental
>
Smile Gallery
>
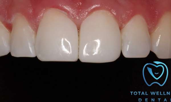
Non-invasive Composite Veneers Bioclear
Non-invasive Composite Veneers Bioclear
Return to Smile Gallery
Previous
Next
Related Services:
Bioclear® Composite Veneers
Click image to see a larger picture
Before
After
Have Questions? Get in Touch
Contact Us
OK!
×
×
Contact Us Today
Give Us A Call
Total Wellness Dental -
(281) 463-7258
Send Us an Email
Book Online
Contact Us
Ready to Schedule an Appointment?
Book Online
Have Questions? Contact Us:
Required Field
Your Name:
Phone:
Email:
Are you a new patient?:
Are you a?
New Patient
Current Patient
How would you like us to contact you?
Please choose
Email
Call
How did you hear about us?
Please choose
I'm an existing patient
Google/Bing
Mailer
Word of mouth
Social media
Other
Who Referred You?:
Appointment Preferences
Monday
Tuesday
Wednesday
Thursday
Your Message:
By checking this box, you authorize our office to contact you via text message.
This site is protected by reCAPTCHA and the Google
Privacy Policy
and
Terms of Service
apply.
Sending...
×
This Patient's Experience
Loading Testimonial...
Loading Case...